Research

Lessons From Zoey’s One Year Checkup

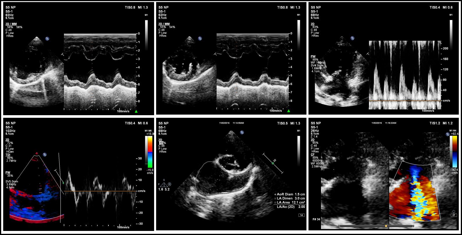
Zoey’s one year checkup was done October 28th 2017.  Zoey’s cardiologist (Dr. Hodge) was a bit worried Zoey’s left ventricle and left atrium (LV/LA) numbers were increasing after each checkup.  According to Dr. Hodge, Zoey’s pressure and her regurgitation were…

MVD Studies From Around the Country

Virginia Tech and Auburn University are enrolling dogs in studies to further research in the area of Mitral Valve Disease.  If you are opting not to have surgery to correct the mitral valve defect, these could be options for your…

Jasmine Clinic Webinar

Last year we were honored to attend a webinar Dr. Sayaka Takeuchi, Dr. Masami Uechi and other vital staff at the Jasmine Clinic hosted. They were gracious enough to host and recorded the seminar to educate our Mighty Hearts families…

Dr. Masami Uechi Interview

The Mighty Hearts Team traveled to the Jasmine clinic in Yokohama Japan to interview Dr. Masami Uechi.

The LOOK Study: ACVIM Conference 2017

The Longitudinal Outcome of Canine Mitral Valve Disease (LOOK-mitral) - by Dr. Michele Borgarelli, DVM, PhD, DECVIM-CAThis is a study being performed with the collaboration of Virginia-Maryland College of Veterinary Medicine, where Dr. Borgarelli does his research, and one of the…

Mitral Valve Repair Metrics

One of the most frequent questions asked when considering a surgery as risky as cardio-pulmonary bypass, is what are the chances my dog will survive the surgery and what is the long term prognosis post-surgery. The answer is always "it…